1
Anti-CRT1/2 | Calreticulin-1/2
AS23 4889 | Clonality: Polyclonal| Host: Rabbit | Reactivity: Arabidopsis thaliana, Petunia hybrida
- Product Info
-
Immunogen: KLH-conjugated peptide derived from Arabidopsis thaliana CRT1: UniProt: O04151 TAIR: AT1G09210 and CRT2, UniProt: Q38858 TAIR: At1g56340 Host: Rabbit Clonality: Polyclonal Purity: Antigen affinity purified serum, in PBS pH 7.4 Format: Lyophilized Quantity: 50 µg Reconstitution: For reconstitution add 50µl of sterile or deionized water. Storage: Store lyophilized/reconstituted at -20°C; once reconstituted make aliquots to avoid repeated freeze-thaw cycles. Please, remember to spin tubes briefly prior to opening them to avoid any losses that might occur from lyophilized material adhering to the cap or sides of the tubes. Tested applications: Western blot (WB) Recommended dilution: 1 : 1000 (WB) Expected | apparent MW: 46 | 53 kDa for CRT1, depending upon the signal peptide cleavage and N-glycosylation
46 | 50 kDa for CRT2, depending upon the signal peptide cleavage and N-glycosylation - Reactivity
-
Confirmed reactivity: Arabidopsis thaliana, Petunia hybrida Predicted reactivity: Brassica napus, Solanum lycopersicum, Solanum tuberosum, Nicotiana tabacum
Species of your interest not listed? Contact usNot reactive in: No confirmed exceptions from predicted reactivity are currently known - Application Examples
-

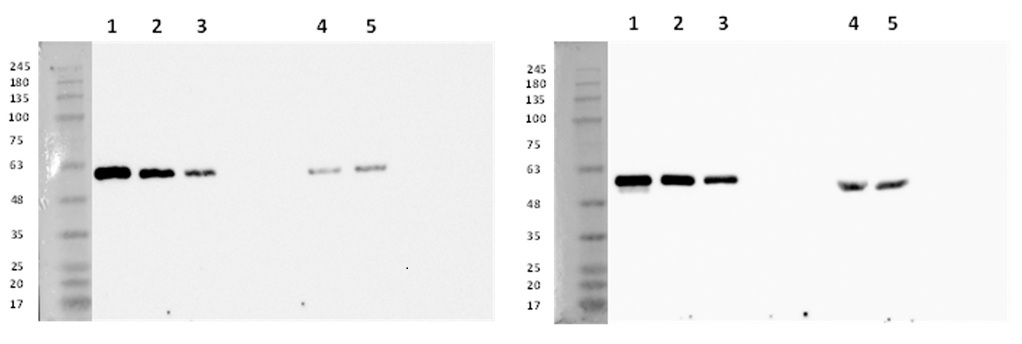
Samples:
3 – 50 µg of Nicotiana benthamiana leaf extract (mock infiltrated with empty vector control)
1 – 50 µg of Arabidopsis thaliana Col-0 wild type seedling extract
2 – 50 µg of Arabidopsis thaliana crt1 crt2 mutant seedling extract
4 – 50 µg of Nicotiana benthamiana leaf extract transiently expressing A. thaliana CRT2-RFP fusion protein50 µg/well of total protein extracted freshly from A. thaliana seedlings. Exact buffer components were: 1 x PBS supplemented with 1 % (v/v) Triton X-100 and denatured with Laemmli buffer at 95 °C for 5 min. Samples were separated at room temperature by 10 % SDS-PAGE and blotted for 1 h to a nitrocellulose membrane (pore size of 0.45 µm), using wet transfer with a cooling block. The blot was blocked with 5 % (w/v) milk in TBS-T for 1 h/RT with agitation. The blot was incubated in the primary CRT1/2 antibody at a dilution of 1:1000 in TBS-T overnight at 4°C with agitation. The antibody solution was decanted and the blot was rinsed briefly twice, then washed once for 15 min and 3 times for 5 min in TBS-T at RT with agitation. The blot was incubated in matching secondary antibody (anti-rabbit IgG horse radish peroxidase conjugated) diluted to 1:30000 in TBS-T for 2h/RT with agitation. The blot was washed as above and developed with the following chemiluminescent detection reagent: AgriseraBright. Exposure time was 20 seconds (Fusion FX, Vilber).
Courtesy Dr. Richard Strasser, Department of Applied Genetics and Cell Biology, BOKU, Austria

Samples:
1 – 20 µg Petunia hybrida anthers extract (microspores stadium)
2 – 20 µg Petunia hybrida unpollinated pistil extract
3 – 20 µg Petunia hybrida pollinated pistil extract (24h after pollination)
4 – 20 µg Petunia hybrida pollen tubes extract
5 – 20 µg Petunia hybrida pollen tubes extract20 µg/well of total protein extracted freshly from Petunia hybrida (anthers, pistils and pollen tubes). Exact buffer components were: 100 mM TRIS-HCl (pH 7.5), 10% sucrose, 5 mM EGTA 5 mM EDTA, 2 mM DTT, complete™Protease Inhibitor (anthers, pistils) or 50 mM HEPES (pH 7.5), 10% sucrose, 5 mM EGTA 5 mM EDTA, 2 mM DTT, cOmplete™Protease Inhibitor (pollen tubes). Denaturation with exact buffer components at 95°C/5 min. Samples were separated in the cold on 10% SDS-PAGE and blotted for 20 min to PVDF (0.45 µm), using: semi-dry transfer (Trans-Blot Turbo system, Bio-Rad). Blot was blocked with 5% milk at 4°C/ON with agitation. Blot was incubated in the primary antibody at a dilution of 1: 1000 for 1h/RT with agitation in PBS-T. The antibody solution was decanted and the blot was rinsed briefly twice, then washed once for 15 min and 3 times for 5 min in PBS-T at RT with agitation. Blot was incubated in matching secondary antibody (anti-rabbit IgG horse radish peroxidase conjugated) diluted to 1: 125 000 for 1h/RT with agitation. The blot was washed as above and developed with a following chemiluminescent detection reagent. Exposure time was 20 seconds (ChemiDoc Touch System, Bio-Rad).
Courtesy of Dr. Piotr Wasąg, Nicolaus Copernicus University in Toruń, Poland - Additional Information
-
Additional information: This antibody can be used as a marker of plant endoplasmic reticulum (ER) Additional information (application): Apparent MW of CRT is slightly higher than expected, due to Arabidopsis CRTs being N-glycosylated. According to Jin et al. 2009, CRT1 and CRT2 are both expressed in seedlings and can be distinguished as 2 separate bands by their migration upon SDS-PAGE and immunoblotting with CRT1 having a higher MW than CRT2. The data with infiltrated N. benthamiana show that CRT2 is recognized by anti-CRT1/CRT2. Presumably, the band in A. thaliana Col-0 wild-type is therefore also CRT2 and CRT1 is not or weakly recognized. The CRT1/CRT2 antibody does not react with Arabidopsis CRT3 expressed in N. benthamiana (not shown) - Background
-
Background: CRT (Calreticulin) is a molecular calcium-binding chaperone promoting folding, oligomeric assembly and quality control in the endoplasmic reticulum (ER) through the calreticulin/calnexin cycle. Found predominantly in ER lumen plays a crucial role in calcium storage and protein folding within this organelle. - Protocols
-
Agrisera Western Blot protocol and video tutorials
Protocols to work with plant and algal protein extracts
Agrisera Educational Poster Collection - Reviews:
-
This product doesn't have any reviews.
Related products
AS07 213 | Clonality: Polyclonal | Host: Rabbit | Reactivity: Higher plants including A.comosus, A.thaliana, C.sativus, C. australis R.Br, C.reinhardtii, F. margarita Swingle, H.vulgare, L.esculentum, L.longiflorum, Malus x domestica Borkh. c.v. Fuji, M. truncatula, M.crystallinum, N.tabacum, N.caerulescens, O.sativa, P.hybrida cv. Mitchell, Populus sp., P.vittata, Thellungiella sp., T. aestivum, Z.mays, V. vinifera | Cellular [compartment marker] of tonoplast membrane
AS07 260 | Clonality: Polyclonal | Host: Rabbit | Reactivity: [global antibody] for di- and monocots, conifers, ferns, mosses, green algae | Cellular [compartment marker] for plasma membrane
Antibody to phosphorylated H+ATPase
