1
 Anti-MBP | Maltose Binding Protein (monoclonal)
AS21 4678 | Clonality: Monoclonal | Host: Mouse | Reactivity: MPB-tagged proteins
- Product Info
 -  
Immunogen: MBP epitope tag recombinant protein Host: Mouse Clonality: Monoclonal Purity: Affinity purified in PBS pH 7.4. Contains 0.02 % sodium azide. Contains 50 % glycerol. Format: Liquid Quantity: 50 µg Storage: Store at -20°C for up to 1 year, Make aliquots to avoid repeated freeze-thaw cycles. Please remember to spin the tubes briefly prior to opening them to avoid any losses that might occur from material adhering to the cap or sides of the tube. Tested applications: ELISA (ELISA), Western blot (WB) Recommended dilution: 1 : 500 - 1: 5000 (ELISA), (WB)  - Reactivity
 -  
Confirmed reactivity: MBP maltose binding protein epitope tag  - Application Examples
 -  

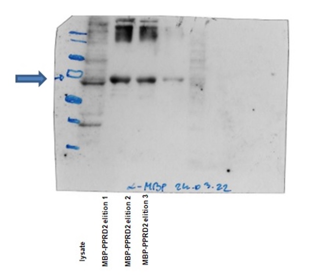
Insect cell lysate was prepared in buffer: HEPES 20mM, NaCl 150 mM, LMNG-CHS, amylase resin was used for purification, elution was conducted with the same buffer with maltose. 20 µg/well of eluted protein or fresh lysate were denatured at 95°C for 5 min and separated on 10% SDS-PAGE and blotted 1h to nitrocellulose (pore size of 0.45 um), using wet transfer. Blot was blocked with 3% milk for 1h/RT with agitation. Blot was incubated in the primary antibody at a dilution of 1: 1000 in TBS-T ON/4°C with agitation. The antibody solution was decanted and the blot was rinsed briefly twice, then washed once for 15 min and 3 times for 5 min in TBS-T at RT with agitation. Blot was incubated in Agrisera matching secondary antibody (anti-rabbit IgG horse radish peroxidase conjugated) diluted to 1:1 000 in for 1h/RT with agitation. The blot was washed as above and developed for 5 min with AgriseraECLSuperBright. Exposure time was 20-30 seconds.Courtesy of Natalia Piłka, Laboratory of Lipid Biochemistry, Polish Academy of Sciences, Warsaw, Poland
 - Background
 -  
Background: MBP (Maltose binding protein) is encoded by the malE gene of E.coli and is a commonly used tag when studying protein expression using a wide range of applications. MBP tag enables easy purification of proteins from bacterial extracts under mild conditions.
 - Protocols
 - Agrisera Western Blot protocol and video tutorials
 - Reviews:
 - 
    
    
    
    
This product doesn't have any reviews.
 
