1
Anti-Rps2 | Ribosomal subunit 2 (cytoplasmic, dicot)
AS24 5058 | Clonality: Polyclonal | Host: Rabbit | Reactivity: Arabidopsis thaliana
- Product Info
-
Immunogen: KLH-conjugated peptide derived from Arabidopsis thaliana Rps2, UniProt: Q9SCM3 GeneID: AT3G57490 Host: Rabbit Clonality: Polyclonal Purity: Antigen affinity purified serum, in PBS pH 7.4 Format: Lyophilized Quantity: 50 µg Reconstitution: For reconstitution, add 50 µl of sterile or deionized water. Storage: Store lyophilized/reconstituted at -20°C; once reconstituted make aliquots to avoid repeated freeze-thaw cycles. Please, remember to spin tubes briefly prior to opening them to avoid any losses that might occur from lyophilized material adhering to the cap or sides of the tubes. Tested applications: Western blot (WB) Recommended dilution: 1 : 3000 (WB) Expected | apparent MW: 30 | 26 kDa (in presence of u6 M urea)
- Reactivity
-
Confirmed reactivity: Arabidopsis thaliana Predicted reactivity: Brassica napus, Nicotiana tabacum, Pisum sativum, Solanum lycopresicum, Solanum tuberosum
Species of your interest not listed? Contact usNot reactive in: Monocots - Application Examples
-

Samples:
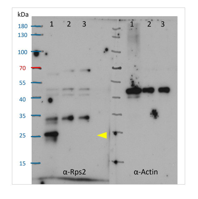
From the left: MW markers
1 - 15 ug of WT Arabidopsis thaliana whole seedling (Col-0)
2 - 15 ug of rps2 mutant Arabidopsis thaliana whole seedling (SALK_067371C)
3 - 15 ug of rps2 mutant Arabidopsis thaliana whole seedling (SALK_085434C)
15 µg/well of total protein extracted freshly from Arabidopsis thaliana 8-day-old seedlings. Exact buffer components were: 4 M Urea buffer components at 4 °C. Samples were separated in the RT on 12 % SDS-PAGE and blotted for 2 h to PVDF (pore size of 0.2 µm), using: we transfer in the cold. Blot was blocked with 10 % milk for 1h/RT with agitation. Blot was incubated in the primary antibody at a dilution of 1: 3000 for 1h/RT with agitation in PBS with agitation. The antibody solution was decanted, and the blot was rinsed briefly twice, then washed once for 15 min and 3 times for 5 min in PBS at RT with agitation. Blot was incubated in matching secondary antibody (anti-rabbit IgG horse radish peroxidase conjugated) diluted to 1: 5000 in for 1 h/RT with agitation. The blot was washed as above and developed with a following chemiluminescent detection reagent: SuperSignal West Pico PLUS (Thermo Fisher). Exposure time was 1 minute.
Note: Faster migration of Rps2 is attributed to presence of 4 M urea in the sample. In the presence of 6 M urea less SDS is going to bind to the protein, and as an effect of that the protein is going to migrate faster than calculated from the sequence.Courtesy of Dr. Kuo-En Chen, Department of Biology, Washington University in St. Louis, USA
- Background
-
Background: Rps2 (Ribosomal subunit 2) is a protein belogning to the Ribosomal Protein S5 family, which is involved in the structure and function of the small ribosomal subunit (40S in eucaryotes), crucial for translation process.
Alternative name: 40S ribosomal protein S2-4 - Protocols
-
Agrisera Western Blot protocol and video tutorials
Protocols to work with plant and algal protein extracts
Agrisera Educational Poster Collection - Reviews:
-
This product doesn't have any reviews.
Related products
AS10 934 | Clonality: Polyclonal | Host: Rabbit | Reactivity: A. thaliana, A. sativa, H. vulgare, O. europaea, O. sativa,, P.patens. S. tuberosum, Z.mays,
