1

Anti-XLG2 | Extra-large G-protein 2
AS22 4881 | Clonality: Polyclonal| Host: Rabbit | Reactivity: Arabidopsis thaliana
- Product Info
-
Immunogen: Recombinant XLG2 of Arabidopsis thaliana UniProt: C6KIE6, TAIR: AT4G34390 Host: Rabbit Clonality: Polyclonal Purity: Serum Format: Lyophilized Quantity: 50 µl Reconstitution: For reconstitution add 50 µl, of sterile or deionized water. Storage: Store lyophilized/reconstituted at -20°C; once reconstituted make aliquots to avoid repeated freeze-thaw cycles. Please, remember to spin tubes briefly prior to opening them to avoid any losses that might occur from lyophilized material adhering to the cap or sides of the tubes. Tested applications: Western blot (WB) Recommended dilution: 1 : 1000 - 1: 5000 (WB) Expected | apparent MW: 97 kDa - Reactivity
-
Confirmed reactivity: Arabidopsis thaliana Predicted reactivity: Species of your interest not listed? Contact us Not reactive in: No confirmed exceptions from predicted reactivity are currently known - Application Examples
-
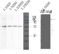
Samples:
Left panel: 50 ng of recombinant AtXLG2 protein
Right panel: 20 µg of a total protein from Arabidopsis thaliana wt (wt) and xlg1,2,3 goa1-3 quadruple mutant (mut)
Samples were separated on 12 % SDS-PAGE and blotted for 1h to PVDF using wet transfer. Blot was blocked with 5 % milk for 1h/RT. Blot was incubated in the primary antibody at a dilution of 1: 5 000 for 1h/4°C with agitation in TBS-T. The antibody solution was decanted, and the blot was washed. Blot was incubated in a matching secondary antibody (anti-rabbit IgG horse radish peroxidase conjugated) for 1h/RT with agitation. The blot was washed and developed with chemiluminescence detection reagent.Courtesy of Dr. Alan M. Jones, University of North Carolina, USA
- Additional Information
-
Additional information (application): The antibody is also recognizing a recombinant XLG2 protein. Reactivity to XLG1 has not been confirmed. - Background
-
Background: XLG2 protein is involved in G protein-coupled receptor signaling pathway and is involved in defense response, hypersensitive response and response to bacterium. - Protocols
-
Agrisera Western Blot protocol and video tutorials
Protocols to work with plant and algal protein extracts
Agrisera Educational Poster Collection - Reviews:
-
This product doesn't have any reviews.