1
Anti-RPE | Ribulose-5-phosphate-3-epimerase, chloroplastic
AS22 4713 | Clonality: Polyclonal | Host: Rabbit | Reactivity: Arabidopsis thaliana
- Product Info
-
Immunogen: KLH-conjugated peptide derived from Arabidopsis thaliana RPE protein sequence, UniProt: Q9SAU2, TAIR: At5g61410 Host: Rabbit Clonality: Polyclonal Purity: Affinity purified serum, in PBS pH 7.4 Format: Lyophilized Quantity: 50 µg Reconstitution: For reconstitution, add 50 µl of sterile or deionized water. Storage: Store lyophilized/reconstituted at -20°C; once reconstituted make aliquots to avoid repeated freeze-thaw cycles. Please, remember to spin tubes briefly prior to opening them to avoid any losses that might occur from lyophilized material adhering to the cap or sides of the tubes. Tested applications: Western blot (WB) Recommended dilution: 1: 500 - 1 : 1000 (WB) Expected | apparent MW: 30 | 25 kDa (due to N-terminal or C-terminal processing) - Reactivity
-
Confirmed reactivity: Arabidopsis thaliana, Nicotiana benthamiana Predicted reactivity: Capsicum annuum, Chlamydomonas reinhardii, Cucumis sativus, Lolium perenne, Physcomitrium patens, Solanum lycopersicum, Solanum tuberosum, Spinacia oleracea
Species of your interest not listed? Contact usNot reactive in: Nannochloropsis sp., Vicia faba - Application Examples
-

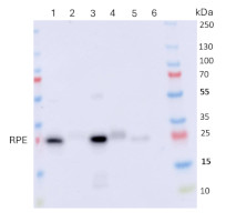
Samples:
1 - 10 µg of Spinacia oleracea total cell extract
2 - 10 µg of Solanum lycopersicum total cell extract
3 - 10 µg of Cucumis sativus total cell extract
4 - 10 µg of Solanum tuberosum total cell extract
5 - 10 µg of Rubisco protein standard (SIGMA)
6 - 10 µg of BSA (negative control)
10 µg/well of total protein extracted from frozen leaves from Spinacia oleracea, Solanum lycopersicum, Cucumis sativus, Solanum tuberosum. Leaves were pressed into a juice using an Angel Juicer (5500). Samples were normalised to 1mg/mL based on a Bradford assay, using ddH20 (pH 7.5) as dilutant. Samples were mixed in a 3:1 (v/v) ratio with Laemmli loading buffer containing 8% SDS, 1% bromophenol blue, 10 mM EDTA, 250 mM Tris-HCl (pH 6.8), 40% glycerol, and 20% β-mercaptoethanol. Mixtures were heated at 95 °C for 5 minutes, briefly centrifuged (4000xg, 5mins) and loaded onto 15-well 4–20% Mini-PROTEAN® TGX™ Precast Protein Gels (Bio-Rad, 4561096) using a Bio-Rad Mini-Protein cell (Bio-Rad, Hercules, USA). Protein transfer was carried out on nitrocellulose (pore size of 0.45 µm - Nitrocellulose Membrane, Roll (Bio-Rad) (#1620115) & Cytiva Whatman™ Grade GB003 Blotting Paper (11959257)), using: semi-dry or dry transfer (TGX Turbo Setting). Blot was blocked with 5 % milk (in 1x PBS) 1h/RT with agitation. Blot was incubated in the primary antibody at a dilution of 1:500 for 1h/RT with agitation in 5% milk (in 1x PBS). The antibody solution was decanted, and the blot was rinsed briefly twice, then washed once for 15 min and 3 times for 5 min in PBS-T at RT with agitation. Blot was incubated in matching secondary antibody (anti-rabbit IgG horse radish peroxidase conjugated) diluted to 1:25000 in 5% milk (in 1x PBS) for 1h/RT with agitation. The blot was washed as above and developed with a following chemiluminescent detection reagent: SuperSignal™ West Pico PLUS Chemiluminescent Substrate. Exposure on the Image Quant LAS 500 instrument using the ‘Auto’ chemiluminescence option.
Note: For detection of RPE in different species, protein load/well and primary antibody dilution and incubation time must be optimized.Courtesy of Jack Pattinson, IAFRI PhD Student, Molecular Life Sciences (MLS), School of Natural and Environmental Sciences Devonshire Building, Newcastle University, United Kingdom
- Background
-
Background: RPE (Ribulose-5-phosphate-3-epimerase) is an essential protein required during embryogenesis, which catalyzes the reversible epimerization of D-ribulose 5-phosphate to D-xylulose 5-phosphate. Alternative names: R5P3E, Pentose-5-phosphate 3-epimerase, Protein EMBRYO DEFECTIVE 2728
- Protocols
-
Agrisera Western Blot protocol and video tutorials
Protocols to work with plant and algal protein extracts
Agrisera Educational Poster Collection - Reviews:
-
This product doesn't have any reviews.
Accessories
AS03 037 | Clonality: Polyclonal | Host: Rabbit | Reactivity: global antibody and compartment marker for higher plants, lichens, algae, cyanobacteria, dinoflagellates, diatoms
Benefits of using this antibody
AS09 458 | Clonality: Polyclonal | Host: Rabbit | Reactivity: A. comosus, A. thaliana, C. ciliaris, C. gayana, C. velia, Ch. quinoa, H. vulgare, J. curcas, K. prostrata, L. fusca, Lupinus sp. , M. maximus, M. crystallinum, N. tabacum, O. sativa, P. antidotale, P. coloratum, P. strobus, Saccharum spp. hybrid clone C91-301, S. lanata, S. laricifolia, S. bicolor, Synechocystis PCC 6803, Phaeodactylum tricornutum (strain CCAP 1055/1), T. weissfloggi, Z. mays, Z. muelleri
Benefits of using this antibody
