1
 
 Anti-AGO5a | Argonaute 5a (Z. mays)
AS21 4536  | Clonality: Polyclonal |  Host: Rabbit | Reactivity: Zea mays
- Product Info
-  Immunogen: KLH-conjugated peptide derived from AGO5a of Zea mays, UniProt: A0A1D6GKG1 Host: Rabbit Clonality: Polyclonal Purity: Antigen affinity purified serum, in PBS pH 7.4 Format: Lyophilized Quantity: 50 µg Reconstitution: For reconstitution, add 50 µl of sterile water. Storage: Store lyophilized/reconstituted at -20°C; once reconstituted make aliquots to avoid repeated freeze-thaw cycles. Please, remember to spin tubes briefly prior to opening them to avoid any losses that might occur from lyophilized material adhering to the cap or sides of the tubes. Tested applications: Western blot (WB) Recommended dilution: 1 : 1000 (WB) Expected | apparent MW: 115.5 kDa 
- Reactivity
-  Confirmed reactivity: Zea mays Predicted reactivity: Species of your interest not listed? Contact us Not reactive in: No confirmed exceptions from predicted reactivity are currently known 
- Application Examples
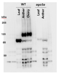
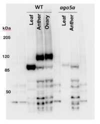
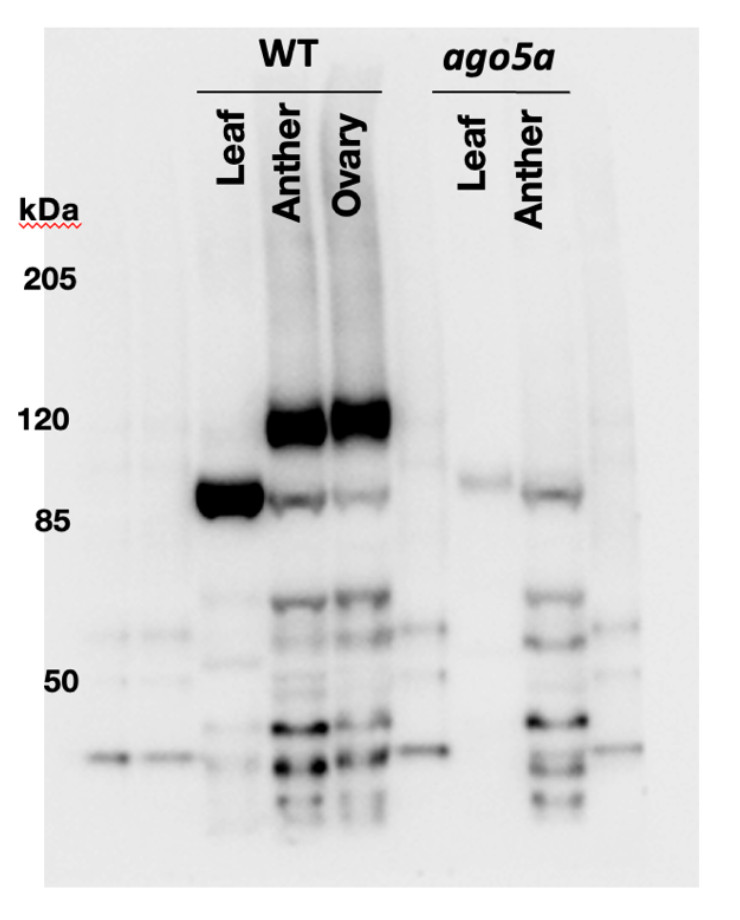
-    Samples: 
 M– Marker
 M – Marker
 WT 1 – 72 µg of Zea mays seedling leaf extract
 2 –72 µg of Zea mays premeiotic anthers extract from 12/16/24
 3– 72 µg of Zea mays unpollinated ovary extract from 12/16/24
 M– Marker
 ago5a mutant
 4 – 72 µg of Zea mays ago5a adult leaf extract
 5 – 72 µg of Zea mays ago5a premeiotic (0.2-0.5mm) anthers
 M – Marker
 Zea mays AGO5a molecular weight: 116 kDa72 µg/well of total protein (extracted one day before running the gel and stored in -80C) from maize spikelet/ovary/leaf with SII buffer and denatured with exact buffer components at 70 °C/ 10 min. Samples were separated on 4-12% NuPage LDS-PAGE Tris-Acetate 3-8 % gel and blotted for 2 h at 30 V to PVDF membrane (Invitrolon™ PVDF/Filter Paper Sandwiches, 0.45 µm, 8.3 x 7.3 cm), using: wet transfer. Blot was blocked with 5 % milk in TBS-T overnight at 4C with agitation. Blot was incubated in the primary antibody at a dilution of 1:1000 with 5 % milk in 10 mL TBS-T for overnight/RT with agitation. The antibody solution was decanted and the blot was rinsed three times (5 min each) in TBS-T at RT with agitation. Blot was incubated in matching secondary antibody (Goat anti-rabbit IgG (H&L), HRP conjugated) diluted to 1:25000 in 2% milk in TBS-T for 1 h/RT with agitation. The blot was rinsed three times (5 min each) in TBS-T and developed with the Agrisera ECL SuperBright reagent. Exposure time was 5 seconds. 
- Background
-  Background: AGO5a (Argonaute 5a) is RNA binding protein involved in regulatory ncRNA-mediated gene silencing. 
- Protocols
- 
					Agrisera Western Blot protocol and video tutorials
 Protocols to work with plant and algal protein extracts
 Agrisera Educational Poster Collection
- Reviews:
- 
    
    
    
    This product doesn't have any reviews. 
Accessories
 
		
	
				This set includes three discounted, well published, compartment marker antibodies of your choice. Benefits of using this antibody set
Related products:
SA000002 | Plant Cell Compartment Antibody Marker Set | 5 antibodies
SA000003 | Plant Cell Compartment Antibody Marker Set | 10 antibodies
 
		
	
				AS10 710A | Clonality: Polyclonal | Host: Rabbit | Reactivity: A. thaliana, C. reinhardtii, S. lycopersicum, V. faba, P. patens, S. europaea, Z. mays, Ch. reinhardtii | cellular [compartment marker] of nucleoplasm

 
		
	