1
 DCL1 | Dicer-like protein 1
AS12 2102 | Clonality: Polyclonal | Host: Rabbit | Reactivity: Arabidopsis thaliana
- Product Info
 -  
Immunogen: KLH-conjugated synthetic peptide derived from Arabidopsis thaliana DCL1 protein sequence, Q9SP32 , At1g01040 Host: Rabbit Clonality: Polyclonal Purity: Antigen affinity purified serum in PBS, pH 7.4 Format: Lyophilized Quantity: 50 µg Reconstitution: For reconstitution, add 50 µl of sterile water. Storage: Store lyophilized/reconstituted at -20°C; once reconstituted, make aliquots to avoid repeated freeze-thaw cycles. Please, remember to spin tubes briefly prior to opening them to avoid any losses that might occur from lyophilized material adhering to the cap or sides of the tubes. Tested applications: Western blot (WB) Recommended dilution: 1 : 1000 (WB) Expected | apparent MW: 213 kDa  - Reactivity
 -  
Confirmed reactivity: Arabidopsis thaliana Predicted reactivity: Arabidopsis thaliana Not reactive in: Zea mays  - Application Examples
 -  

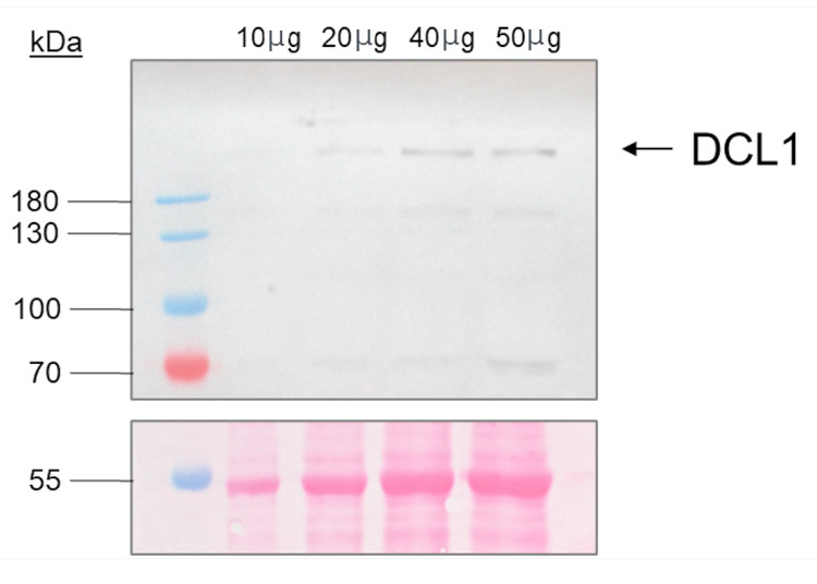
Total protein was freshly extracted from Arabidopsis thaliana flowers with 40 mM Tris-HCl pH 7,5, 300 mM KCl, 5 mM MgCl, 5 mM DTT, 0,2 mM EDTA pH 8,5, 0,2 % Triton X-100, 1 mM PMSF, 2 % Glycerol and protease inhibitor (cOmplete™, EDTA-free Protease Inhibitor Cocktail from Roche). Protein were denatured with 0.125M Tris-HCl pH 6.8, 4% SDS, 10% Glycerin, 10% β-mercaptoethanol and Bromphenolblue at 80°C for 7 min. Total protein was separated on 10% SDS PAGE (for 2h at 120V, 400mA) and blotted for 3h to nitrocellulose 0.45 µm using wer transfer (10% EtOH). Blot was blocked with 5% non-fat milk for 1h at RT with agitation. Blot was incubated in the primary antibody at a dilution of 1:1000 in TBS-T ON at 4°C with agitation. The antibody solution was decanted, and the blot was washed three times with for 5 min with TBS-T at RT and agitation. Blot was incubated with Agrisera matching secondary antibody (anti-IgG horse radish peroxidase conjugated, AS09 602) diluted with 1:10 000 in TBS-T for 1h/RT with agitation. The blot was washed three times with TBS-T for 5 min. The blot was developed for 5 min with ThermoFisher SuperSignal™ West Pico PLUS (Ref. 34580). Exposure time was 6s.Courtesy of Cecile Rosalie Scholl, SLU, Sweden
 - Additional Information
 -  
Additional information: Freezing and re-using of diluted anti-DCL1 antibodies is not recommended and will contribute to non-conclusive results.
Additional information (application): Antibody is predicted to work in RIP (RNA Immunoprecipitation (IP) assay). This antibody is also recognizing recombinant DCL1.
 - Background
 -  
Background: DCL1 (EC=3.1.26) is a ribonuclease (RNase) III involved in RNA-mediated post-transcriptional gene silencing (PTGS). Functions in the microRNAs (miRNAs) biogenesis pathway by cleaving primary miRNAs (pri-miRNAs) and precursor miRNAs (pre-miRNAs).
Alternative names: Protein ABNORMAL SUSPENSOR 1, Protein CARPEL FACTORY, Protein SHORT, INTEGUMENTS 1, Protein SUSPENSOR 1. - Protocols
 - 
					
 - Reviews:
 - 
    
    
    
    
This product doesn't have any reviews.
 
