1

Anti-Glutamine synthetase (leaf,root)
- Product Info
-
Immunogen: Purified full length, tag cleaved, recombinant Zea mays GS-1 (Glutamine synthetase, root isozyme 1) UniProt: P38559 Host: Rabbit Clonality: Polyclonal Purity: Total IgG. Protein A purified in PBS, 50% glycerol. Filter sterilized. Format: Liquid at 2 mg/ml. Quantity: 100 µg Storage: Store at -20°C; once reconstituted make aliquots to avoid repeated freeze-thaw cycles. Please remember to spin the tubes briefly prior to opening them to avoid any losses that might occur from material adhering to the cap or sides of the tube. Tested applications: ELISA (ELISA), Western blot (WB) Recommended dilution: assay dependent (ELISA), 1: 1000 - 1: 5000 (WB) Expected | apparent MW: 39 kDa | 43 kDa (chloroplast isoform) - Reactivity
-
Confirmed reactivity: Arabidopsis thaliana, Spinacia oleracea, Zea mays Predicted reactivity: Brachypodium distachyon, Cucurbita moschata, Glycine max, Medicago truncatula, Oryza sativa, Panicum hallii, Pontederia crassipes, Populus tremula x Populus alba, Prunus persica, Raphanus sativus, Saccharum officinarum, Setaria italica, Sorghum bicolor, Triticum aestivum
Species of your interest not listed? Contact usNot reactive in: No confirmed exceptions from predicted reactivity are currently known - Application Examples
-
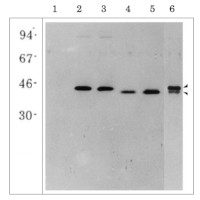
Recombinant root type GS isoproteins from Zea mays expressed in E.coli, negative control without recombinant GS (1), GS1-1 expressing extract (2), GS1-2 expressing extract (3), GS1-3 expressing extract (4), GS1-4 expressing extract (5), Zea mays root extrated treated with ammonia (6) were freshly extracted with 2x SDS-sample buffer (+ 2ME) for SDS-PAGE and denatured with 4X SDS buffer at 95°C for 5 min. Samples were separated on 10% SDS-PAGE and blotted 1h to PVDF membrane. Blot was blocked with 3 % skim milk/TBS-T, 1h/RT with agitation. Blot was incubated in the primary antibody at a dilution of 1: 2500 in TBS-T for 1h/RT. The antibody solution was decanted and the blot was washed 4 times for 10 min in TBS-T at RT with agitation. Blot was incubated in matching secondary antibody (anti-rabbit IgG horse radish peroxidase conjugated) diluted to 1:10 000 in for 1h/RT with agitation. The blot was washed as above and developed with a chemiluminescent detection reagent, following manufacture's recommendation.
The lower band in endogenous extract is ammonia induced GS.
2 µg of Arabiopsis thaliana total leaf extract (1), 2 µg of Zea mays total leaf extract (2), were freshly extracted with 2x SDS-sample buffer (+ 2ME) for SDS-PAGE and denatured with 4X SDS buffer at 95°C for 5 min. Samples were separated on 10% SDS-PAGE and blotted 1h to PVDF membrane. Blot was blocked with 3 % skim milk/TBS-T, 1h/RT with agitation. Blot was incubated in the primary antibody at a dilution of 1: 1000 in TBS-T for 1h/RT. The antibody solution was decanted and the blot was washed 4 times for 10 min in TBS-T at RT with agitation. Blot was incubated in matching secondary antibody (anti-rabbit IgG horse radish peroxidase conjugated) diluted to 1:10 000 in for 1h/RT with agitation. The blot was washed as above and developed with a chemiluminescent detection reagent, following manufacture's recommendation.
MW of GS1 isoproteins: 38-40 kDa and this antibody reacts with both leat and root isoforms. Maize leaf contains both types. The upper band with asterisk corresponds to leaf isoform (chloroplastic), while the lower two bands correspond to root isoforms GS1-1 or/and GS1-2 (upper band) or/and GS1-4 (lower band).
- Additional Information
-
Additional information: This antibody reactis with all glutamine synthetase isotypes from leaf and root Additional information (application): No confirmed exceptions from predicted reactivity are currently known - Background
-
Background: Glutamine synthetase plays a role in the flow of nitrogen into nitrogenous organic compounds. There are five root types of GS isoproteis (GS1-1~ GS1-5) and one chloroplastic GS isoprotein (GS2/GLN2) are known. The sequence identity between GS1-1 and GS2 is 65%. - Product Citations
-
Selected references: Kimata-Ariga and Hase (2014). Multiple complexes of nitrogen assimilatory enzymes in spinach chloroplasts: possible mechanisms for the regulation of enzyme function. PLoS One . 2014 Oct 1;9(10):e108965. doi: 10.1371/journal.pone.0108965.
Sakaibara et al. (1996). Molecular identification and characterization of cytosolic isoforms of glutamine synthetase in maize roots. J Biol Chem. 1996 Nov 22;271(47):29561-8. doi: 10.1074/jbc.271.47.29561.
- Protocols
-
Agrisera Western Blot protocol and video tutorials
Protocols to work with plant and algal protein extracts
Agrisera Educational Posters Collection
- Reviews:
-
This product doesn't have any reviews.
Accessories

AS01 021A | Clonality: Polyclonal | Host: Hen | Reactivity: [global antibody] for bacteria
Benefits of using this antibody
50% discount on matching standard/positive control
AS01 021S NifH | Positive control/quantitation standard
Use promotional code: Stand50